真菌カンジダが腸内環境を荒らす?!
数年前までは食道や膣にカンジダ(酵母の姿の菌類))の属名であるが見つかっても、「少し抵抗力が落ちているようですね。でも特に症状がなければ問題ありませんから様子をみましょう」そう放置されることが多かったものです。
しかし、いまこのカンジダ症が改めて見直されています。カビはもともと人間の常在菌で私達と共存している微生物です。普段は悪さをしませんが免疫力が低下していると皮膚や粘膜などで増殖し様々な不調を引き起こします。
特に腸の中で繁殖したカビは腸内環境を乱し、リーキーガット症候群(腸もれ)の原因となります。リーキーガット症候群とは、腸の粘膜上皮の細胞と細胞をつなぐ接合部(タイトジャンクション)がゆるむことで隙間ができ、食べ物や消化物などが漏れ出すことです。アトピーや喘息、アレルギーの原因となったり、自己免疫性疾患やがん細胞などを増殖させます。
本日は、私達の腸内環境を脅かす「カンジダ」について考えてみましょう。
カンジダが腸内環境を荒らす?!
過敏性腸症候群を抱える人は、消化管内でカンジダが繁殖しているケースが多いものです。お腹のはり、慢性的な便秘や下痢という症状に悩まされていた患者さんが、大腸内視鏡検査では異常が発見されず原因がわからない場合、カンジダの検査をすると陽性を示すことがあります。
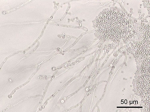
食品添加物や加工食品などにより消化管の環境が悪化し、便秘や下痢などの排泄障害を起こすと腸内環境は乱れます。バランスを崩した腸内細菌叢ではカンジダが増殖し、カンジダ菌から「菌糸」と呼ばれる糸状の触手が伸びて腸管をつらぬきます。カンジダが増殖すれば「有機酸」を放出し消化管の環境は悪化します。
カンジダが産生する酒石酸にはリンやカルシウムの吸収阻害作用があり腸内環境を悪化させます。その結果、吐き気、嘔吐、下痢、食欲不振、消化管出血などが現れます。
私にカンジダはいる?カンジダ検査の種類
カンジダがいる人の特徴はまず口の中。舌苔がびっしりとついていたらカンジダが繁殖している可能性があります。また朝一番の唾液を水の中にたらして見て下さい。15分くらいして糸状のものが垂れている、または濁った粒子がうようよしていたらカンジダがいるかもしれません。
自分の腸の中にはカンジダがいるのか?炎症は起きているのか?これらは検査で調べる事ができます。血液や便、朝一番の尿を調べて菌やバクテリアの繁殖状況が確認出来ます。
・カンジダ抗体検査(血液検査)・・・血液中のカンジダ抗体を調べて増殖をチェックします。
・尿中有機酸検査(尿検査)・・・尿中に含まれる有機酸を調べることで、カンジダの産生するアラビノース、酒石酸などを調べることができます。
・便培養検査(便検査)・・・便中のカンジダを培養して菌の有無を調べます。
大腸内視鏡検査で問題なしとされた方の中には、「カンジダ陽性」で、腸内環境バランスが崩れてしまっていることもあるようです。
カンジダを抑える食生活を
アレルギーや自己免疫性疾患の原因となるリーキーガットを予防するためには、カビや悪玉菌の繁殖を抑えなけれいけません。
自分の腸の中にもいるかもしれないカンジダ。どうすれば繁殖を抑えることができるのでしょうか?カンジダが治療必要なレベルの方は、カビが好む糖質を一定期間控えること。そして、レモンやお酢、梅干し、大根おろしなどを積極的にとってください。消化を助ける食べ物が菌の繁殖を抑えます。
タンパク質などは、未消化のままだと分子が大きく消化吸収ができず、腸を傷つける原因になってしまいます。よく噛んで食べることがポイント!
グルテンやカゼインも腸の炎症の原因になるので、小麦や乳製品の摂りすぎは控えましょう。
また、カビの繁殖や炎症を抑えるために苦味がある野菜を選んでください。ニンニク、生姜、山菜、ハーブがお勧めです。オメガ3系の油、亜麻仁油などは粘膜の炎症を鎮める効果があります。
そして、もっとも大切なこと。虫歯や歯周病は口腔内で雑菌や真菌を増やします。口腔内ケアを怠らず、菌の住処となる歯石を予防してください。
⇒腸内細菌のバランスの乱れとカンジダと喘息の関係については、筑波大より研究結果が報告されています。


