年齢とともに便秘が酷くなりました「腸の老化を食い止めよう」
ぽっこりお腹が気になる。そういえばもう何日も出ていない。どんどんおならが臭くなってる気がする。
こんな症状は「腸の老化」です。
ぽっこりお腹が気になる⇒腸が下垂して下腹部に溜まってしまっている
そういえばもう何日も出ていない⇒腸の機能低下
どんどんおならが臭くなってる気がする⇒腸内細菌が悪玉菌優位になっている
先日もお客様よりこんなメッセージをいただきました。
若い頃は便秘知らずでしたが、最近どうも毎日すっきり出なくなりました。
酷いと4〜5日くらい出ない事もあります。
そのせいか下っ腹がぽっこり出ています。
また、ときどき出るおならはとても臭く腸の中に病気があるのか?と心配になってしまします。
こんな症状はどうしたらいいのでしょうか?
多かれ少なかれこんな症状にお悩みの女性は多いと思います。
本日は・・・「腸の老化現象」についてまとめてみたいと思います。
中年期から増加し始める「便秘」
若い頃からずっと「便秘知らず」と思っている女性でも、40代くらいから腸に変化を感じ始めることが増えてくることがあると思います。
もともと便秘ある人は、腸の長さが長かったり、腸が癒着(ゆちゃく:腸が炎症を起こして腹膜にくっついてしまうこと)していたり器質的に異常がある場合が多いものです。
しかし、加齢と共に進行してくる便秘の原因は、腸のたるみや自律神経の働きです。
自律神経の働きには交感神経と副交感神経があり、アクセルとブレーキの役割をして腸の動きを調整しています。交感神経が働くと腸がゆるんで動きが鈍くなり、リラックスして副交感神経に切り替わると腸が収縮してよく動くようになります。この腸を動かす「副交感神経」の働きは、女性では40代から下がり始め、加齢と共に低下していきます。そのため70代になるとぐっと便秘に悩む人が増えていきます。

大腸がんのリスクを高める便秘薬
便秘を4.5日我慢して、下剤を使用する。そんなサイクルを繰り返している方はどれくらいいらっしゃるでしょうか?
どんな便秘薬でも長期間服用し続けても良いという薬はありません。特に大量の下剤を服用したり、長期間続けることは腸の機能を低下させます。
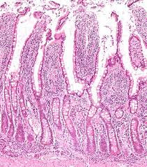
腸管粘膜にある絨毛(じゅうもう)は、有害物質から身体を守る「腸管バリア機能」という働きをしています。この絨毛は、下剤を使えば使うほど炎症がおきて短くなり、腸の働きを低下させてしますのです。
腸の炎症は便秘などによっても起こりますが、下剤の刺激によっても生じ、下剤を長期間服用すれば「大腸がん」のリスクが上昇すると言われています。
絨毛WIKIより
便秘と腸内細菌のバランス
便秘になるとおならが臭くなります。それは停滞した便が生み出す腐敗臭でもありますが、腸内細菌のバランスによる臭いでもあります。
便秘になると腸内でどのようなことが起こるか?考えてみましょう。
便秘をすると便が腸内に留まる時間が長くなります。悪玉菌が多くなると、腸の蠕動運動が停滞し、悪臭をはなったガスが発生します。花粉症、がん、生活習慣病、肌荒れ、毛穴の開き等の症状の原因となります。
できるだけ排便コントロールをつけ、腸内環境を整えることが大切です。腸内フローラが整っていれば、腸内の乳酸菌が乳酸をうみだし、腸内環境も活発化し、腸の動きが改善され便秘は解消されていくのです。
年齢を重ねれば重ねるほど、腸の老化も進行します。少しでも腸年齢を若く保つためにできる腸活・・・始めて見て下さいね。

大腸がんと腸内環境はこちらから⇩
がんと戦う11種類の腸内細菌を発見!「慶応大、本田賢也教授」治療薬との併用で大きな効果
↓ナースキュアシンバイオティクスEXのご購入はこちらから



