目次
年末便秘に気を付けて!「排便に必要なものは、食事、睡眠、そして心の余裕」
いよいよ年末です、焦る、焦る。年末に向けてやらなければいけないことが山積み。大掃除、年賀状、締め切りが迫った原稿の数々。
年末はどうしてこう忙しいのでしょうか?2日前に自分がなにをやっていたのか分からないほど、時間の流れが早くなっています。
いけない、いけない、これでは何のために仕事をしているのか?本末転倒です。
腸内環境の改善を訴える私の腸内環境が悪化してしまう。「忙しい年末になると便秘になりやすくなる」そんな経験はございませんか?
便秘の原因には様々な要素がありますが、やはり一番の問題は「腸の運動力低下」です。
どんな時に腸の動きは悪くなってしまうのでしょうか?本日は・・・多忙なこの時期にみられる「年末便秘」について考えてみましょう。
忙しい時は副交感神経が働かない
年末になって忙しくなると増えてくるのが、「けいれん性便秘」です。けいれん性便秘とはストレスなどによって大腸の動きが悪くなった状態です。
ストレスがかかり体が常に緊張した状態になると、自立神経が乱れ、腸の運動が引きつったようになり、腸蠕動(ちょうぜんどう:腸が自ら動くこと)が規則正しく行われなくなります。人間の体は起きているときは「交感神経」が活発に働き、寝ている時に「副交感神経」が働きます。腸を働かせるために必要なものは副交感神経です。
副交感神経の働きが悪くなると、腸の動きが速くなりすぎたり遅くなりすぎたり、ペースが一律でなくなるため「便秘」や「下痢」を交互に繰り返すことがあります。
このけいれん性便秘を改善するために必要なことは、「良質な睡眠」です。あれもやらなきゃ、これもやらなきゃ、とぐるぐる考えていると、寝ている間に腸がきちんと働いてくれません。
薬剤師NETより
腸を動かすために必要なもの
「年末便秘」の原因は、睡眠不足だけではないかもしれません。いつもと比べて食事量、食物繊維の量はどうですか?飲み過ぎで朝食を抜いたり、宴会料理で野菜不足が続いたり。
腸を動かすためには食事による刺激も必要で、「十分な食事量」「十分な食物繊維量」が必要です。食生活の変化で現在の日本人の便量は戦前の半分以下といわれています。糖質や脂質がメインな食事のため、大腸の内容物が減少し腸に便が停滞しやすい状態にあるのです。
また朝食も大切です。朝の太陽を浴びて朝食を食べることによって「体内時計」のスイッチが入り腸が動き出します。朝食には眠った胃腸を起こす働きもあるため、朝食を抜くと便秘をもたらすことにあります。
安易に刺激性下剤に頼ってはいけない理由
忙しくて出が悪いから薬を買って飲もう!そんな方はここから先を読んで下さい。
いまでこそ、「下剤には刺激性下剤と非刺激性下剤があります!」そうコマーシャルでやっていますが、ちょっと前(2年くらい)までは、医師ですらそんなことを気にしていませんでした。いわゆる「腸内細菌オタク系」の専門家だけがつぶやいていたものです(私もそのうちの1人)。
便秘を解消するために、取りあえず薬局で薬を買って飲む人が多いのではないでしょうか?効き目の分かりやすい「刺激性下剤」を安易に常用してしまうと、「腸の機能」を低下させてしまいます。
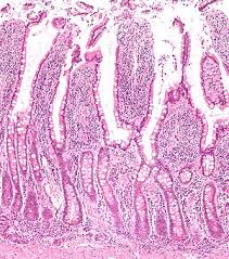
腸管粘膜にある絨毛(じゅうもう)は、有害物質から体を守る「腸管バリア機能」という働きがあります。この絨毛は下剤を使うほど炎症が起きて短くなり、蠕動運動(ぜんどううんどう)ができなくなります。腸の炎症は便秘によって起こりますが、刺激性下剤の乱用によっても悪化します。また「大腸がん」の原因にもなりえます。
WIKより
慢性炎症、これが老化の大きな原因です。忙しい⇒便秘⇒老ける⇒大腸がんのリスクがあがる
こんなスパイラルになることを忘れないようにして下さい。
ちょっと忙しいから・・・なんて食事や睡眠をおろそかにせ、腸内環境のコンディションを改善するよう心がけて下さい。
と、今日も自分に言い聞かせるのでした・・・
ナースキュアシンバイオティクス EXのご購入はこちらから
↓



